
Teeth in a Day
Want Cost-Effective Dental Work? Consider Medical Tourism
Dental work, especially dental implants, can be expensive in the U.S., but you can receive the same quality of treatment for a fraction of the price at our Los Algodones, Mexico, dental office. Patients from Mexicali and beyond often find that making the trip can save them thousands of dollars.
Achieve Immediate Dental Rehabilitation
Contact Our Los Algodones Office Today
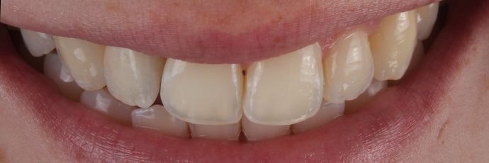
While traditional implant methods are effective for supporting replacements for lost teeth, they require about 3-6 months to fuse with the jawbone before the restoration can be placed. If you don't want to wait that long for restored function, Teeth in a Day may be for you. With this option, our dentist can place your crown, bridge, or denture immediately, and you can benefit from restored function, elevated confidence, and a protected jawbone right away.
Do you want to restore your dental function on the same day as your implant placement procedure? See if you qualify for treatment by requesting a consultation at our Los Algodones, Mexico, dental clinic:
(928) 792-2156
Patients Love Our Dental Clinic
"I cannot say enough wonderful things about Dr. Valenzuela and the staff! They are highly skilled, kind, and caring people! My experience with all on 6 upper and lower was the best dental experience of my life! I would recommend them to anyone needing major dental, implants dentures, etc. I do not regret a moment spent pursuing this adventure and am grateful to Dr. Valenzuela." Bobbie Wrenfrow
Restore Your Dental Function Quickly See How Teeth in a Day Works
You can expect our dental clinic to deliver world-class results at a much lower price than you would pay north of the border.
What If I Don't Qualify for Same-Day Teeth? We Have Other Options
Our office in Los Algodones, Mexico, is proud to offer preparatory procedures and different types of dental implants to meet all our patients' needs. If you don't qualify for Teeth in a Day, we may be able to restore your candidacy with bone grafting, gum disease treatment, and other procedures. If you are a better candidate for traditional implants or mini dental implants, we can provide these treatments at a highly affordable price.

Choose Los Algodones for Your Care
The staff were very helpful. They explained the entire process and answered all my questions. Andrea is a fantastic dentist and made the experience really great. I could not be happier.
My husband and I have now both had work done. What is the most impressive is it is a very busy practice and everyone is very friendly. I continue to refer people here and it is an easy drive from Palm Springs









