
Sedation Dentistry
Virtual Consultations Are Available
You don't have to visit our Los Algodones, Mexico, dental office just to learn about your options. We respect your time, which is why we offer virtual consultations for procedures that can be paired with sedation dentistry. If you feel comfortable with our practice, then we can schedule your appointment. Use our online form or give us a call.
Dental Phobia Is More Common Than You Think
* According to the National Institutes of Health
Many patients put off important dental treatments due to a fear of the dentist. Postponing dental cleanings or treatments puts you at risk of developing more serious oral health concerns like tooth decay and tooth loss. Unfortunately, these concerns can even affect your overall health. In addition to offering sedation dentistry, Dr. Jose Valenzuela uses gentle techniques to put even the most anxious patients at ease.
Intravenous (IV) Sedation Relieves Your Dental Anxiety
Our Los Algodones, Mexico, office offers IV sedation, which is delivered directly to the bloodstream. The effects of this medication put you in a state of deep relaxation that leaves you with little or no memory of the procedure. This can ensure a pleasant experience for even the most stressed or nervous patients. Unlike nitrous oxide, which wears off quickly, the effects of IV sedation take longer to subside, so you will need someone to drive you to and from your appointment.
Sedation Dentistry Makes Seeing the Dentist a Breeze
IV sedation allows our patients to undergo their procedures in excellent comfort. It is often combined with a local anesthetic so no pain can be felt during the procedure.
IV sedation can:
Reduce Anxiety
Patients who suffer from dental anxiety can greatly benefit from sedation dentistry. IV sedation helps you to feel relaxed and comfortable throughout your entire procedure.
Reduce Fidgeting
It's normal to fidget if you feel uncomfortable during a procedure, but it can make the dental treatment take longer. Sedation will relax you so that you will not feel the need to move during your treatment, which will reduce your overall time in the dentist's chair.
Eliminate Gagging
A sensitive gag reflex makes dental work difficult and uncomfortable. IV sedation relaxes you and soothes your gag reflex to make your dental procedure more efficient and comfortable for both you and your dentist.
Make Long Procedures More Comfortable
Longer procedures can be troublesome and even painful for some patients, especially those with health conditions like arthritis, Parkinson's, or other special needs. Sedation dentistry allows you to relax through long procedures so you can comfortably get the dental care you need.
Prevent Severe Conditions and Save You Money
Neglecting treatment only makes oral health issues worse with time. This can lead to tooth loss, advanced decay, and periodontal disease. Patients are able to get the oral care they need through sedation dentistry, often long before the problem can become more serious and expensive to treat.
Don't Let Anxiety Win Request a Consultation
If you get anxious about dental procedures or dread sitting still in the dentist's chair for an extended period, IV sedation can help you relax and let Dr. Valenzuela comfortably work on your smile. Contact our Los Algodones office to explore your dental options and ask us about the sedation we use to help patients through their dental work:
(928) 792-2156
IV Sedation Helps You Relax And Get the Dental Care You Need
/https://d3b3by4navws1f.cloudfront.net/shutterstock_218458957.jpg)
Patients Happily Return To Our Trusted Los Algodones Office
"Even though my dental issues took months between appointments for healing my next visit with the docs, usually was with someone different than the last visit. I never felt like there was any sense of starting over. Each team picked up where the last one left off and each visit was professional and positive for me. The facility is always clean and its state of the art tech is impressive." Harry O
Cosmetic & Implant Dentistry Center The Safe and Effective Choice
We have built our Los Algodones, Mexico, practice over two generations by incorporating patient feedback, which allows us to provide cutting-edge care in a comfortable setting. When you choose us for your sedation dentistry, you choose:
Compassionate Care
Our family-run dental practice prides itself on the care we provide our patients. Our entire office staff gets to know each patient so every time you visit, you feel welcome and relaxed.
Latest Technology
Our practice uses the latest technology in dentistry, ranging from high-magnification intraoral cameras to the latest cutting-edge dental implant and cosmetic dentistry treatments.
Quality Dentistry
Whether you need a routine cleaning or implant-supported dentures, our experienced dentist is dedicated to providing top-quality care. We have patients who travel from the U.S. and Canada for Dr. Valenzuela's dental treatments.
For Quality Dental Care in a Relaxing Environment Visit Us in Los Algodones, Mexico
Our Los Algodones office is a family-run practice that has been in business for two generations. During that time, we have learned that many patients experience crippling anxiety at the thought of seeing a dentist. That is why we prioritize the patient experience and make it as smooth, comfortable, and hassle-free as possible.
Our practice uses IV sedation and the latest dental technology to provide the best quality dental care while ensuring your comfort. Patients travel from all over the U.S. and Canada to receive dental treatments from our office.
For more information, contact our Los Algodones practice online or call:
(928) 792-2156
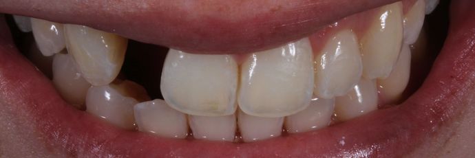
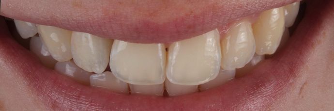
Stunning Results in Los Algodones Created by a Dentist Who Cares
"The staff were very helpful. They explained the entire process and answered all my questions. Andrea is a fantastic dentist and made the experience really great. I could not be happier."
Dan S.
Do You Qualify?
While more candidates qualify for IV sedation than general anesthesia, some risk factors may prevent patients from being approved. Our doctor will review your medical history before beginning your dental procedure to ensure that this form of sedation is safe for you.
Anesthetics and sedatives always carry a certain amount of risk. However, the following factors increase your risk:
- You have never taken the intended sedative
- You are obese
- You have obstructive sleep apnea
- You are prone to Serotonin syndrome
"Hands Down 100% the BEST." Hear How We Put Patients at Ease
My wife had just completed the implant procedures for both upper and lower teeth (both complete sets). I cannot tell you how grateful we both are for the results. The prices were much, much lower than the US and the care the staff took to help us was impeccable! I highly recommend Dr. Valenzuela and his team to anyone. You will NOT be disappointed. Thank you very much for all your hard work Cosmetic and Implant Center Team! You are all wonderful.
View On Google
Dr. Valenzuela and his staff are a Godsend. My only regret is I didnt find him earlier. I just had my partials put in and they are beautiful.
I can't wait for four months for the permanent ones. Dr. Valenzuela is not only a great dentist but an " Artist".
Hands down 100% the BEST.
Understanding How Sedation Dentistry Helps With Dental Implant Placement
Our Los Algodones office can perform dental implant surgery to support your dentures or new restorations. If you struggle with dental anxiety, IV sedation and a local anesthetic will help you remain relaxed and pain-free throughout the entire surgery. Then, when you wake up, you're one step closer to a beautiful, healthy smile.
Patients Love Our Los Algodones Practice
"Excellent service! Was very satisfied with my appointment, and the care given!"
Adi V.
The Process Of IV Sedation
Through IV sedation, you can have the courage to get the dental care you need and take charge of your oral health.
FAQs About Sedation Dentistry At Our Los Algodones Practice
Q. Why don't you offer nitrous oxide?
A. We prefer to use IV sedation and local anesthesia over nitrous oxide. IV sedation can lull patients into sleep or prevent memory formation, which is excellent for those with debilitating anxiety or those who struggle with repetitive movement. Nitrous oxide, on the other hand, is a less powerful sedation option.
Q. Do you offer oral conscious sedation?
A. We do not use oral conscious sedation at our Los Algodones practice. We believe that IV sedation is more customizable and effective. Oral conscious sedation can also be a bit unpredictable in that it may take longer to take effect or not last as long. This can mean that it won't take effect until after your treatment has started and may wear off before treatment is complete. With IV sedation, we can tailor the medication to ensure it is effective when you need it and last the entire procedure.
Q. Are there any side effects of sedation?
A. Serious side effects are rare. The most common side effects of IV sedation are headaches, grogginess, nausea, and dizziness. These typically go away within the first few hours after treatment. It is recommended to rest and take it easy following your procedure to minimize these effects as much as possible. If you experience vomiting, fevers, or any other concerning symptoms, call our Los Algodones practice or seek emergency medical attention for issues like trouble breathing.
Q. Do you follow the same standards as American doctors?
A. Yes, we do — and at a more affordable price. Our dentist, Jose Valenzuela, completed his training in the USA and earned membership to the American Dental Association, the American Academy of Cosmetic Dentistry, and the American Academy of Implant Dentistry. Plus, we always have a nurse and anesthesiologist present during your sedation appointment for safe monitoring.
Q. How can I pay for my sedation dentistry treatment?
A. You are welcome to pay with cash or card. Insurance doesn't usually cover sedation, but it may cover the cost of treatment itself, if it's medically necessary. Even if it doesn't, dentistry in Mexico is significantly cheaper than care in America. We're only 20 minutes from the border, making the trip convenient and stress-free. Finally, to make care more accessible, we accept dental financing from Citerra Finance.
Don't See Your Question?
Giving Patients Their Smiles Back Just Across the Border in Los Algodones
Dr. Valenzuela and his staff are one of the most professional teams I had the pleasure working with. I’m not the best dental patient, nervous and jumpy normally. The staff took there time and help me feel comfortable. I would give them 5 star service. Thanks to them I can smile with confidence again.
View On GoogleMy husband and I have now both had work done. What is the most impressive is it is a very busy practice and everyone is very friendly. I continue to refer people here and it is an easy drive from Palm Springs
View on Google










