
Same-Day Crowns
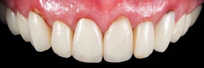
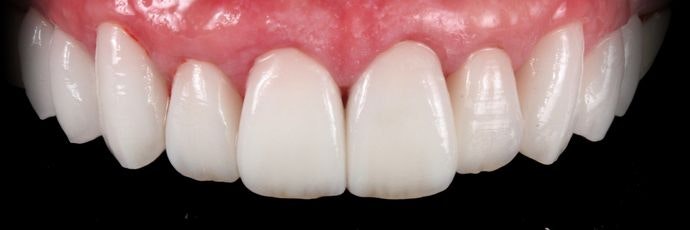
We Make Beautiful Same-Day Crowns
Same-Day Crowns vs. Traditional Crowns
While same-day crowns and traditional crowns are similar solutions that address the same dental concerns, same-day crowns are unique because they:
Are Made In-House
Traditional crowns often have to be sent to a lab for fabrication where your dentist has little control over the fit and appearance of the final product. Using CAD/CAM technology, Dr. Valenzuela can ensure your crown meets his exact specifications before placement.
Cut Down on Costs
In addition to the money you'll save by not having to plan two trips to our Los Algodones dental clinic, same-day crowns forgo the need for a temporary crown, which is an additional expense in traditional crown cases.
Save You Time
Traditional crown turnaround can take 2-3 weeks, and if you’re coming to our Los Algodones, Mexico, office, you likely don’t want to make two trips or spend that much time in Mexico. Same-day crowns eliminate the waiting period so the entire process can be completed in just a few hours.
Rebuild Your Smile With Durable Dental Work Contact Our Los Algodones, Mexico, Office Today
At Cosmetic & Implant Dentistry Center, we use materials like zirconia and porcelain to create dental crowns that are durable and lifelike. Each material offers unique benefits, but our dentist can help you decide which will be best for your goals.
To get started exploring the possibility of a same-day crown, we invite you to contact our Los Algodones, Mexico, office.
(928) 792-2156
Patients Appreciate the Quality Dental Work Available to Them in Los Algodones, Mexico
I am very impressed with this office, excellent dental service! I came for an implant consultation and teeth clean. Dr. Diana and the other staffs were very friendly and kind. Will be coming back soon for the implant procedure. Highly recommend!
View On GoogleDr Valenzuela and his staff are one of the most professional teams I had the pleasure working with. I’m not the best dental patient, nervous and jumpy normally. The staff took there time and help me feel comfortable. I would give them 5 star service. Thanks to them I can smile with confidence again.
View On GooglePatients Choose Cosmetic & Implant Dentistry Center When They Want a High Standard of Care
The Latest Technology
Our Los Algodones, Mexico, office uses the latest developments in the field of dentistry to provide safe and comfortable dental work to patients. With digital X-rays and CAD/CAM technology, placing dental implants and creating crowns is more efficient than ever.
A Range of Dental Solutions
While we’re known for our affordable dental implants, we offer so much more. From cleanings and exams to All-on-4® dental implants with an implant-supported denture, we offer various solutions to help you maintain your oral health and restore any degree of tooth loss.
Medical Tourism
Our Los Algodones practice welcomes patients from the United States, California, and beyond who want to take advantage of the affordable dental care available in Mexico. Whether we’re part of your day trip or your extended vacation, we can fit you into our schedule if you can fit us into yours.
The Cost of a Crown
/
A crown in the United States often costs between $800 and $3,000. Our dental crowns typically fall between $450 and $850, making them a much more affordable solution without sacrificing quality or safety standards. Our dentist can provide an exact treatment cost based on your unique needs during a consultation with our Los Algodones, Mexico, dental clinic.
Receiving Your Same-Day Dental Crown What to Expect in Los Algodones, Mexico
Dr. Valenzuela has practiced dentistry for nearly two decades and is a member of a number of American and international professional associations.
Dental Solutions for Every Degree of Tooth Loss
Dental Work Just Over the Border Our Los Algodones, Mexico, Office Makes Things Easy
"Absolutely love this place. Had an issue with my teeth send email and text Kaite responded set up everything before arrival, First of all We travel far from Sacramento Cal hoping and wondering how it’s going to happen the assistant and doctor that took care of me are super experienced and gentle... Choose them you won’t be disappointed" Kook Tauoa











